Előfordul, hogy egy korábban gyökértömött fogat újra kell gyökérkezelnünk, mert befertőződött.
Egy gyökértömés befertőződése lehet akár észrevétlen, panaszmentes is.
Előbb-utóbb azonban, ha a gyökértömés nem jól “zár”, a csatornába jutott, vagy onnan nem eltávolított kórokozók gyulladást; fájdalmat, duzzanatot okoznak.

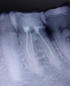
A kezelés célja, hogy a gyökércsatornákba jutott, vagy ottrekedt baktériumokat eltávolítsuk és a csatornarendszer hermetikus lezárásával megakadályozzuk annak újbóli befertőződését.
Ennek kivitelezéséhez eltávolítjuk a régi gyökértömést, majd esetlegesen “meg nem talált” csatornákat keresünk. Mechanikai megmunkálással tovább tágítjuk a gyökércsatornát, illetve fertőtlenítő átöblítéssel közel csíramentessé tesszük a csatornarendszert.

Ezután jellemzően 1-6 hét szünet jön, majd panaszmentesség esetén hermetikusan lezárjuk a csatornákat.
Azaz a cél: baci se ki, se be!
Így hosszútávon biztosítható, a fog megmaradása, tökéletes funkciója.
Nem szabad elfeledkezni a rendszeres kontroll vizsgálatokról: 3, 6, 12, 24 hónap elteltével, hogy a gyökér körüli gyógyulást nyomonkövessük.
