A panaszokat okozó fog megtalálása alapos szájvizsgálat és 2D röntgen segítségével sem mindig egyszerű.
Alapesetben a gyulladt fog (1) hidegre, melegre a megszokottól eltérő, erősebb érzékenységet mutathat. Jellemző lehet továbbá, hogy (2) ráharapásra, vagy kopogtatásra fájdalmat okoz. A gyulladás folyamatának előrehaladtával a fogról készült egyszerű kisröntgen is árulkodó lehet, mivel a gyökércsatorna vége felé haladó gyulladás a (3) gyökércsúcs körül jellegzetes radiodenz(sötét) foltot tehet láthatóvá.
A technológia fejlődésével azonban újabb diagnosztikai eszközök is rendelkezésre állnak bizonytalan esetekben a probléma lokalizálására.
Az alábbi eset a fogászati CT vizsgálat jelentőségét mutatja be.


Biztos, hogy az implantátummal van gond? Biztosan az felelős a gyulladásért?
Az ellentmondások miatt kis CT felvétel készítése mellett döntünk.

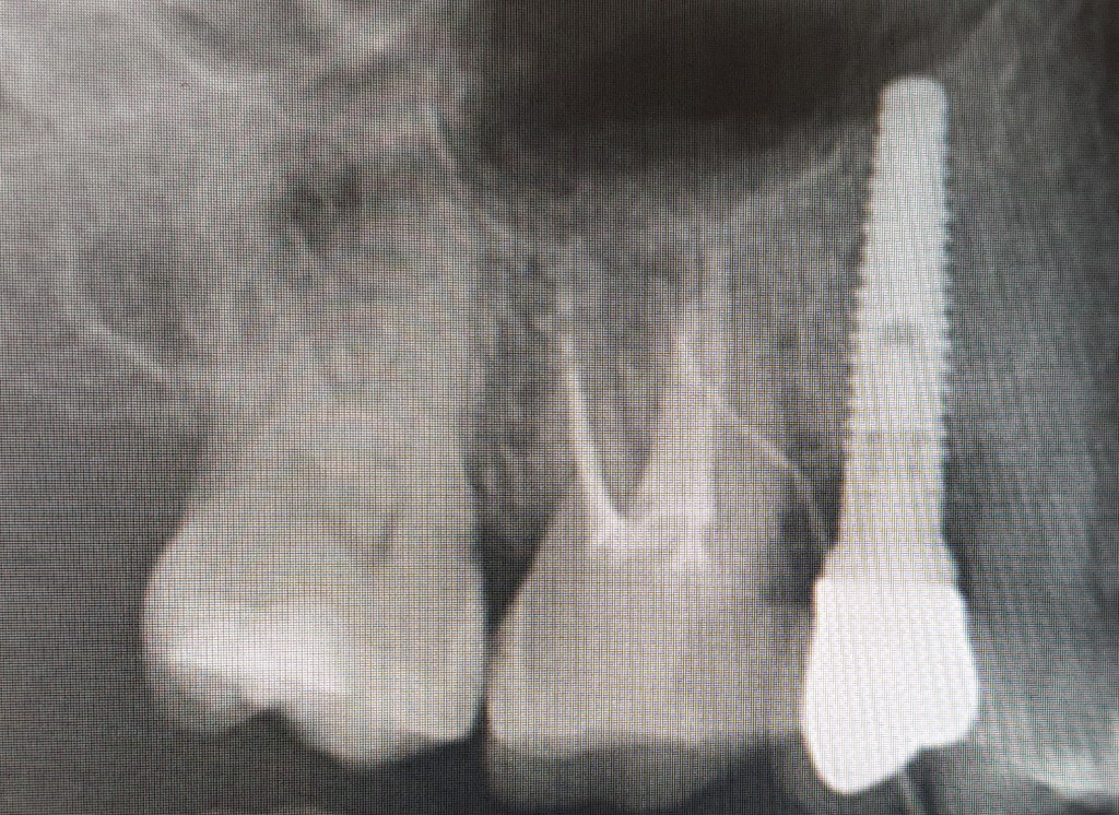
A CT felvétel kiértékelése feloldja az ellentmondásokat, ugyanis a 3D röntgenen eddig nem látott területek is láthatóvá válnak. A horizontális keresztmetszeti képen ugyanis előbukkan egy apró kezeletlen gyökércsatorna (pirossal jelölve) és 3D-ban a gyökércsúcson is láthatóvá válik a gyulladás okozta csontdefektus.
Az felső első nagyörlők 4. csatornája kis méretük és rejtettségük miatt gyökérkezeléskor gyakran nem kerülnek ellátásra.

Néhány héttel a nagyörlő rejtett 4. csatornájának célzott megkeresése és kezelése után eltűnik a panaszt okozó váladékozó duzzanat. A fog csapot, koronát kap majd és jó eséllyel szájban töltheti a következő évtizedet is.
Panaszt okozó korábban gyökérkezelt fogaknál tehát mindig fel kell vetni esetlegesen meg nem talált és/vagy teljesen ki nem tisztított gyökércsatornák jelenlétét, melyek figyelmen kívül hagyása a fog elvesztését okozhatják.
A CT felvétel (3D röntgen) készítése bizonyos esetekben indokolt lehet és nagy segítséget jelenthet a probléma okának felderítésében.
CT felvétel készítésének indokoltságát a fogorvos hivatott megítélni, azaz nem javasolt azt fogászati szakember ajánlása nélkül saját elhatározásból elkészíttetni, mivel sok esetben teljesen felesleges és a diagnózis felállításához nincsen hozzáadott értéke.
