Referencia,esetbemutatás

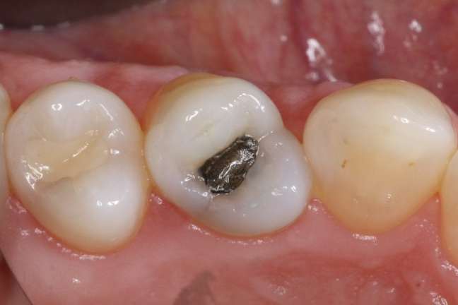
Az amalgám tömés veszélyes? El lehet távolítani biztonságosan is?

Az amalgám tömésről sokat vitáznak, mivel higanyt is tartalmaz, ami nagy mennyiségben mérgező lehet. Itt van egy összefoglaló a legfontosabb tudnivalókról:Veszélyes az amalgám tömés?Igen is, meg nem is. Az amalgám tömés kb. 50%-ban elemi higanyt tartalmaz, de szilárd formában kötődik más fémekhez (ezüst, réz, ón), így stabilnak számít.A legtöbb embernél nem okoz problémát, és a … Az amalgám tömés veszélyes? El lehet távolítani biztonságosan is? részletei...

Milyen típusú cirkónium koronák léteznek? Mi a különbség köztük?

A cirkónium alapú koronáknak két fő típusát  különböztetjük meg: "cirkónium" és a "full cirkónium". A közöttük levő fő különbség az anyagösszetételben és a felépítésben van, azonban mindkettő fémmentes megoldás: 1.Cirkónium korona (fémmentes, cirkónium vázas porcelánnal leplezett korona) Ez egy kétrétegű korona: Belső váza cirkónium-oxidból készül – nagyon erős, fémmentes anyag. Külső réteg porcelánból készül – … Milyen típusú cirkónium koronák léteznek? Mi a különbség köztük? részletei...

Milyen anyagból érdemes koronát, hidat készíttetni? Mikor melyik a jobb választás?

A modern fogászat egyik legnagyobb újítása a cirkónium alapú fogpótlás. Ha fontos számodra az esztétikum, a tartósság és az egészséges szájérzet, a cirkónium koronák és hidak ideális megoldást kínálnak. De mitől olyan különleges ez az anyag, és miért választják egyre többen a hagyományos fémkerámia koronával szemben? Mi is az a cirkónium? A cirkónium-dioxid (ZrO₂) egy … Milyen anyagból érdemes koronát, hidat készíttetni? Mikor melyik a jobb választás? részletei...

Milyen típusú fogászati CBCT felvételek léteznek – és mikor van rájuk szükség? Érdemes CT felvételt készíttetni fogorvosi vizsgálat előtt?

https://videopress.com/v/YUfjT4fi?resizeToParent=true&cover=true&autoPlay=true&controls=false&loop=true&muted=true&persistVolume=false&playsinline=true&posterUrl=https%3A%2F%2Fvideos.files.wordpress.com%2FYUfjT4fi%2F1000035911_mp4_std.original.jpg&preloadContent=metadata&useAverageColor=true A CBCT (kúpsugaras CT) egy speciális, 3D-s képalkotó eljárás, amely sokkal részletesebb képet ad a fogakról, az állcsontokról és a környező területekről, mint a hagyományos röntgen. De nem minden CBCT egyforma – attól függően, hogy mit kell vizsgálni, többféle felvétel létezik.1. Kis területű felvétel – ha egyetlen fog a kérdésEz a típus csak egy … Milyen típusú fogászati CBCT felvételek léteznek – és mikor van rájuk szükség? Érdemes CT felvételt készíttetni fogorvosi vizsgálat előtt? részletei...

Egy megmentett fog többet ér, mint egy tökéletes pótlás?

Ma már szinte rutinszerűen beszélünk foghúzásról és implantátumról, mint gyors megoldásokról. De van valami, amit sem a legmodernebb pótlás, sem a legdrágább implantátum nem tud visszaadni: az eredeti fog természetes szerkezete és élő szövetei. A modern fogászat célja nem csupán az esztétikai helyreállítás, hanem a valódi megőrzés. A mikroszkópos technológia lehetőséget ad arra, hogy még … Egy megmentett fog többet ér, mint egy tökéletes pótlás? részletei...

Progresszív és mégis konzervatív – A mikroszkópos fogászat új szemlélete

A modern fogászat egyik legnagyobb kihívása, hogy egyszerre haladjon a technológiai fejlődéssel, miközben megőrzi azt, ami a legfontosabb: a saját fogainkat. A mikroszkópos fogászat épp ezt a kettősséget testesíti meg – progresszív, mert a legkorszerűbb eszközöket használja, és konzervatív, mert a lehető legtöbbet teszi a fogak megmentéséért.A mikroszkóp segítségével a fogorvos akár 25-szörös nagyításban is … Progresszív és mégis konzervatív – A mikroszkópos fogászat új szemlélete részletei...

Prevenció, predikció, protekció – ‘longevity’ szemlélet a fogorvoslásban

A szemlélet lényege, hogy ne a betegség, hanem kialakulásának megelőzése legyen a fogorvosi beavatkozások vezérfonala.A longevity az egészségesen eltöltött életévek maximalizálását tűzi ki célul, sennek az elvárásnak a teljesítéséhez a fogak épsége nélkülözhetetlen. A javaslatokat a páciens életminőségének javítása és fenntartása céljából tesszük, hogy azt tudatos hozzáállással, szokásai megváltoztatásával s ha ez már kevés, a … Prevenció, predikció, protekció – ‘longevity’ szemlélet a fogorvoslásban részletei...

Kofferdám (gumilepedő) izolálás jelentősége

A gumilepedő egy latexből vagy más szintetikus anyagból készült vékony lap vagy membrán, amelyet a fogászatban arra használnak, hogy bizonyos fogászati eljárások során egy vagy több fogat elkülönítsenek a száj többi részétől. A gumilepedőt általában a kezelt fog vagy fogak köré rögzítik egy kapoccsal, így száraz és steril helyzetet hoznak létre a kezelendő fog körül. … Kofferdám (gumilepedő) izolálás jelentősége részletei...

Elkerülhető még a gyökérkezelés?

Az utóbbi 10-15 évben a fogászati szakterületek közül talán az endodoncia, azaz a fogak gyökérkezeléssel történő megmentésének tudománya fejlődött a legnagyobb ütemben. Új eszközök (pl. operációs mikroszkóp, endo CT) illetve új eljárások és anyagok emelték a kezelés várható sikerességét soha nem látott magasságba. A fogak megmentése ez esetben azonban a fogideg elvesztésével is jár. A fogideg (pulpa) … Elkerülhető még a gyökérkezelés? részletei...