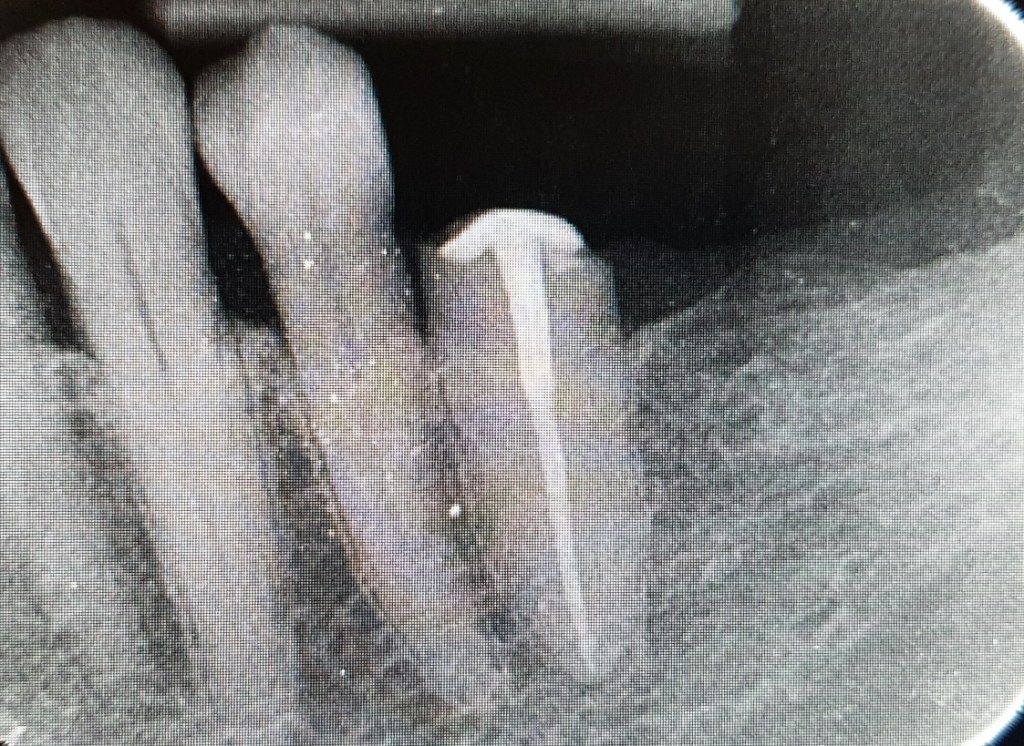
A jószomszédi viszony fogak esetében is értékes lehet. Nem csak a hiányzó fog szomszédainak lecsiszolásával készült hídpótlás esetében. Előfordul ugyanis, hogy egy íny szintjében letört fog gyökérkezeléssel és csappal történt megerősítése mellett a szomszédos fog támasza is szükséges a hosszútávú sikeresség reményében.

A fenti esetben a páciens nem is reménykedett letört fogának megmentésében és foghúzásra kért időpontot. Mivel azonban a törés, szerencsésen az ínyszint felett történt, gyökérkezeléssel és csapos megerősítéssel a fog megmentése mellett döntöttünk.

A gyökércsatornába beragasztott csap lehetőséget teremtett a fog koronázására, ám statikai okból a szomszédos fogra is korona készült.
Nem csak foghiány, azaz fogak pótlása esetén érdemes lehet tehát fogakat egymással összekötni(sínezni).
Meggyengült, ám megmentésre még érdemes fogak így ellenállóbbak a rágóerő okozta stressznek így hosszabb élettartamot és jobb funkcionálást válhatunk tőlük.

