


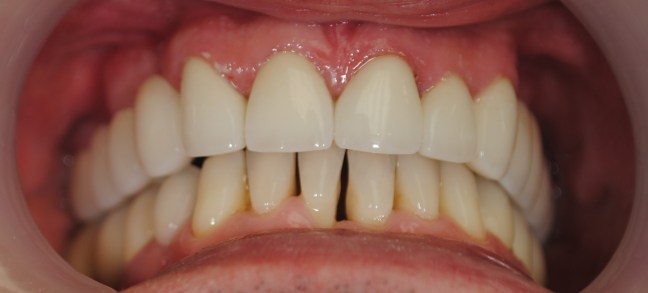
Felső fogatlan állcsont korszerű ellátása: felső teljes fogatlanság kezelése 5 implantátumon rögzített fix híddal, szabadvégekkel. Multi unit tengelykorrekciós fejek, csavarosan rögzített híd.
Implantátum: Nobel Biocare.
Hídpótlás anyaga: lézer szinter fémvázra égetett porcelán.
A választott fogszín: A1.
A protetikai munka elkészülésének ideje: 8 munkanap.



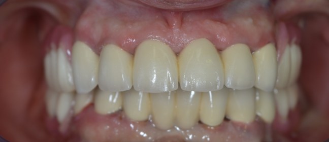
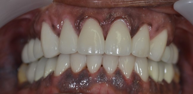
Felső fogatlan állcsont korszerű ellátása: felső teljes fogatlanság kezelése 6 implantátumon rögzített fix híddal. Multi unit tengelykorrekciós fejek, csavarosan rögzített híd.
Implantátum: Nobel Biocare.
Hídpótlás anyaga: cirkónium vázra égetett porcelán.
A választott fogszín: A1.
A protetikai munka elkészülésének ideje: 8 munkanap.
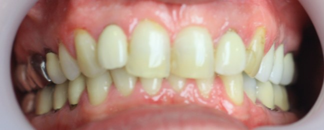
Kozmetikai kezelés: régi tömött, szuvasodott frontfogak szanálása, koronával történő leplezése, megsüllyedt harapás korrekciója.
A választott korona típusa: E-max préskerámia (fémmentes) és cirkon szóló koronák kombinációja.
A választott fogszín A1 .
A protetikai munka elkészülésének ideje: 5 munkanap.
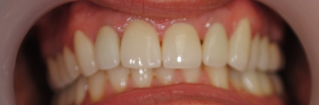
Kozmetikai és funkcionális kezelés: a kopott, elszuvasodott fogak szanálásával, hiányzó frontfogak híddal történő pótlásával, harapás megemelésével.
A választott korona típusa: CAD/CAM (komputer vezérelt tervezés/megmunkálás) technológiával készült cirkónium (fémmentes) szóló koronák, front híd.
A választott fogszín: BL 3 .
A protetikai munka elkészülésének ideje: 10 munkanap.
Esztétikai kezelés: felső front műanyag híd cseréje, fogak karakterizálása.
A választott korona típusa: CAD/CAM (komputer vezérelt tervezés/megmunkálás) technológiával készült cirkónium (fémmentes) szóló koronák, illetve híd.
A választott fogszín: D2
A protetikai munka elkészülésének ideje: 5 munkanap.
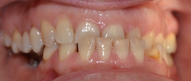
Kozmetikai és funkcionális kezelés: felső torlódott fogak kiegyenesítése, koronák enyhe kifele döntése, mélyharapás korrigálása.
A választott korona típusa: CAD/CAM (komputer vezérelt tervezés/megmunkálás) technológiával készült cirkónium (fémmentes) szóló koronák.
A választott fogszín: A2
A protetikai munka elkészülésének ideje: 5 munkanap.
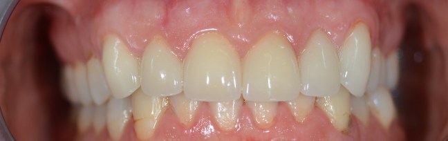
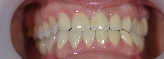
Esztétikai kezelés: tetraciklin miatt elszíneződött fogak koronákkal történő leplezése, fogak kiegyenesítése.
A választott korona típusa: E-max préskerámia (fémmentes) szóló koronák.
A választott fogszín: A1 .
A protetikai munka elkészülésének ideje: 7 munkanap.
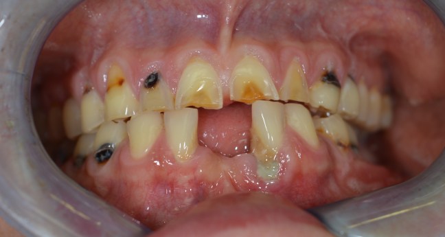
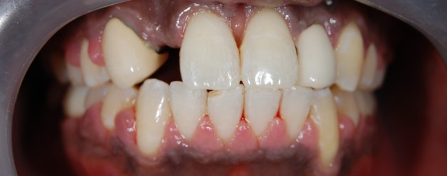
Funkcionális és esztétikai kezelés: fogínysorvadás miatt meglazult és “elvándorolt” fogak eltávoítása majd ún. kombinált (ragasztott front híd, precíziós- ,diszkrét rögzítésű kivehető hátsó protézis) fogsorokkal történő fogpótlás, a megsüllyedt harapás korrigálásával.
A koronák típusa: fémkerámia alsó, felső front híd.
A választott fogszín: A2 .
A protetikai munka elkészülésének ideje: 10 munkanap.
Kozmetikai kezelés: jobb felső kettes fog híddal történő pótlása, bal felső régi fémkerámia korona cseréje.
A választott korona típusa: CAD/CAM (komputer vezérelt tervezés/megmunkálás) technológiával készült cirkónium (fémmentes) szóló koronák.
A választott fogszín: A1 .
A protetikai munka elkészülésének ideje: 5 munkanap.
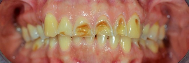
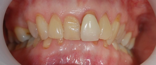
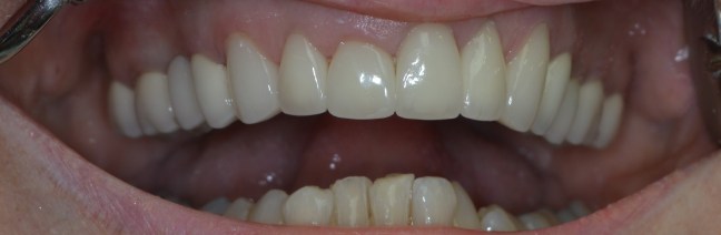
Kozmetikai kezelés: régi tömött, szuvasodott frontfogak szanálása, koronával történő leplezése.
A választott korona típusa: E-max préskerámia (fémmentes) szóló koronák.
A választott fogszín: A1 .
A protetikai munka elkészülésének ideje: 5 munkanap.
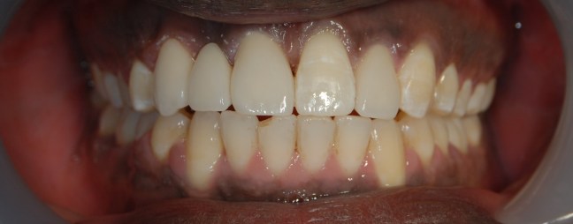
Elsősorban funkcionális kezelés: jobb alsó hiányzó fogak implantátummal történő pótlásával, fordított harapás megszüntetésével, megsüllyedt harapás korrekciójával, összes maradó fog koronázásával.
A választott korona típusa : fémkerámia.
A választott fogszín: A2 .
A protetikai munka elkészülésének ideje: 10 munkanap.
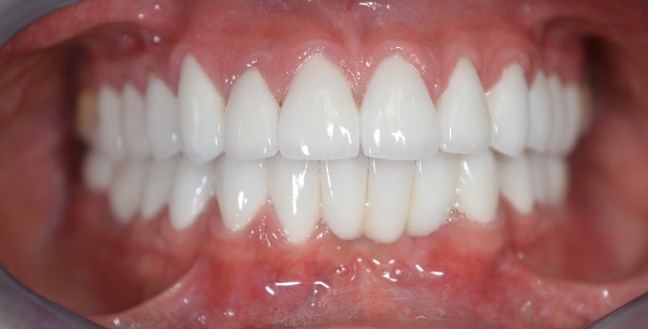
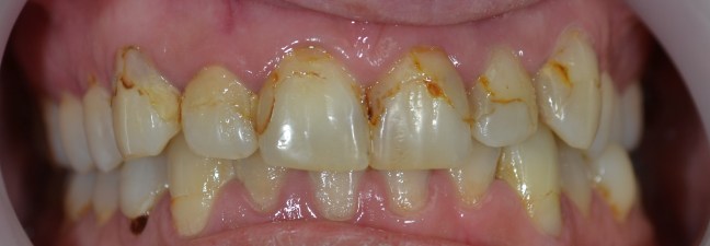
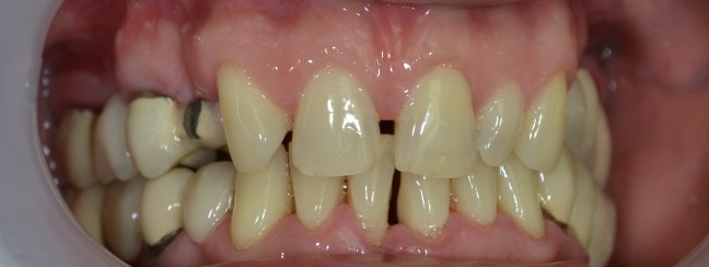
Esztétikai kezelés: régi fémkerámia hidak cseréje, felső fogak közötti rések zárása.
A választott korona típusa: CAD/CAM (komputer vezérelt tervezés/megmunkálás) technológiával készült cirkónium koronák és hidak.
A választott fogszín: A1 .
A protetikai munka elkészülésének ideje: 8 munkanap.
Kozmetikai kezelés: ínyvisszahúzódás és fognyaki kopások koronával történő korrekciója.
A választott korona típusa: CAD/CAM (komputer vezérelt tervezés/ megmunkálás) technológiával készült cirkónium (fémmentes) szóló koronák.
A választott fogszín: BL3 .
A protetikai munka elkészülésének ideje: 10 munkanap.
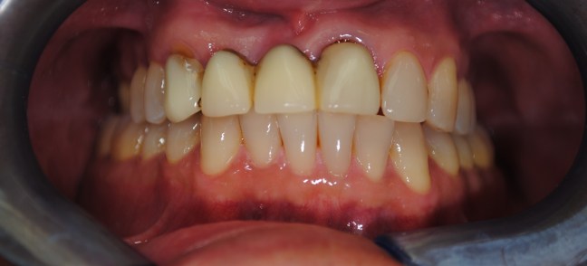
Kozmetikai kezelés: régi fémkerámia koronák cseréje, fogak méretének harmónizálása.
A választott korona típusa: CAD/CAM (komputer vezérelt tervezés/ megmunkálás) technológiával készült cirkónium (fémmentes) szóló koronák.
A választott fogszín: A2 .
A protetikai munka elkészülésének ideje: 8 munkanap.
Gyökértömés cseréje: pontatlan (nem csúcsig érő, nem falálló) gyökértömések cseréje
Megmunkálás: gépi gyökércsatorna tágító (Reciproc)
Munkahossz meghatározása: apex locator (EndoPilot).
Nagyítás típusa: operációs mikroszkóp (25×)
Funkcionális és esztétikai kezelés: harapás korrigálása a fogív kiegyenesítése, fogak közötti rések szűkítése, kereszt harapás megszüntetése az összes megmaradt fog koronázásával. A hiányzó hátsó fogak pótlása implantátumokon megtámasztott koronákkal.
Protetikai munka elkészülésének ideje: 10 munkanap
Koronák anyaga: fémkerámia
Fogszín: A1.
























